HEALTH PROMOTION
產后媽媽們的難言之隱
——您的委屈和困惑,我們超人來幫忙
女子本弱,為母則剛。產后的媽媽們看似無所不能,卻實際上是一類被忽略的弱勢群體,24小時帶娃模式,可能連走神都顧不上;出了月子,一心為著寶寶能母乳喂養健康成長,哪怕看著自己身材持續走樣,也還是要堅持把自己喂成奶牛;下體不適、陰道松弛、咳嗽漏尿……即便寶寶這劑強心針,也掩蓋不了寶媽們內心愈演愈烈的憂桑,更別提如果這時候老公和家人再搞不清楚狀況火上澆油了。
生了個娃,本是喜事,可身體到底發生了什么?寶媽們的這些委屈、困惑、難言之隱,恰好我們超人都懂,也能通過超聲檢查看得到,原來是盆底功能障礙性疾病在作怪。
盆底功能障礙性疾病是一類由于盆底支持結構受損或功能障礙引發的一類疾病。主要表現為壓力性尿失禁、盆腔臟器脫垂、慢性盆腔痛和性功能障礙。懷孕和分娩是主要致病因素,因了這種病癥難以啟齒,所以除了自身痛苦之外,還會產生社交恐懼。愛自己,從現在開始吧。
什么是盆底支持結構
盆底支持結構主要是指由肌肉、筋膜、韌帶等軟組織圍成的骨盆下界,人體的尿道、陰道和肛門開口于盆底支持結構。它是除了骨性結構之外,承托人體盆腔、腹腔、乃至一部分胸腔的重力、壓力、緩沖力的主要結構,類似于懸掛的吊床承托著人的重力和各種活動。

骨盆及部分盆底肌示意圖與吊床對比
盆底功能障礙性疾病的致病因素
主要原因是懷孕和分娩。試想一下,懷孕后隨著寶寶在媽媽子宮內的生長,壓力持續性增大,分娩時寶寶的頭徑接近10厘米,整個頭部和軀體從陰道內娩出這數小時的時間內,又對周圍結構造成什么樣的擠壓和撕扯,其痛難忍啊。
其它原因如年齡增長、長期站立位或蹲位重體力勞動、遺傳因素等。

懷孕時子宮體積及重力增大,分娩時陰道及盆底支持結構受到寶寶的嚴重推擠
盆底功能障礙性疾病自我評估
有了以下癥狀之一,您就是盆底功能障礙性疾病的可疑人群了:
1、 咳嗽、大笑、提重物等動作時有漏尿現象;
2、 陰道口有包塊感;
3、 性生活較產前不和諧或性功能障礙;
4、 盆腔痛;
5、 大便失禁、便秘。

盆底功能障礙性疾病常見表現
盆底功能障礙性疾病只找產后媽媽的麻煩嗎
產后媽媽們因為懷孕和分娩的持續影響,患病概率大大增高,比較嚴重的患者生活質量大受影響,而輕癥者在產后初期,可能并沒有明顯的自覺癥狀;
未婚未育的女性、年長女性存在盆底支持結構發育異常或功能障礙的,也會有部分人罹患該病。
我們超人能幫什么忙
上海市第六人民醫院是一所三級甲等綜合性醫院。超聲醫學科是中國超聲醫學的發源地,科室作為上海市重中之重學科,自2009年開始,率先在國內開展盆底超聲檢查與評估,多年以來不僅建立了自己的盆底超聲醫生團隊,還陸續培養了來自全國各地的盆底超聲專業醫生數千名,造福全國的女性同胞。
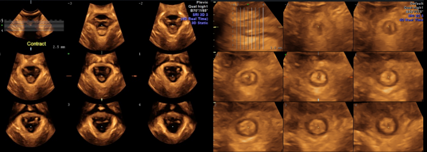
目前科室開展的三維/四維盆底超聲檢查可對盆底肌有無撕裂以及撕裂的范圍和程度、盆腔臟器有無脫垂以及脫垂的范圍和程度進行可視化評估,它是一雙雪亮的眼睛,能及時、科學的告訴您是否患病以及患病程度。
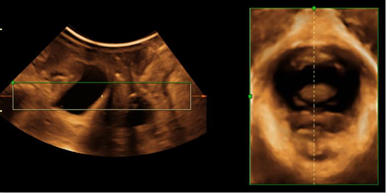
盆底超聲作用及示例
盆底超聲多于會陰部檢查,探頭不需進入陰道內。超聲可觀察盆腔臟器的位置,壓力狀態下臟器位置和形態的變化以及盆底肌損傷情況等。

盆腔臟器脫垂合并肛提肌裂孔增大

三維/四維超聲斷層成像觀察盆底肌(左圖恥骨直腸肌、右圖肛門括約肌)
盆底超聲檢查的時機
產后42天的寶媽們
產后數年的媽媽們
初產備孕或二胎備孕的準媽媽們
絕經后女性
其它情況但有盆底功能障礙性疾病相關癥狀或家族史的女性
盆底功能障礙性疾病的處理
無癥狀和輕癥者建議每日Kegel訓練,即提肛運動,有明顯癥狀者可在醫生全面評估后,接受規范的電生理治療、生物反饋治療等,癥狀嚴重者還可考慮手術治療。