HEALTH PROMOTION
高強度聚焦超聲治療子宮肌瘤新技術
子宮肌瘤是育齡婦女的常見疾病。其臨床表現為經量增多及經期延長、下腹包塊、白帶增多、壓迫癥狀等,常嚴重影響患者生活質量。大約20~40%的育齡婦女有子宮肌瘤。目前治療方法包括藥物治療,手術治療,子宮動脈栓塞術等。由于切除子宮可導致器官的喪失和性激素的失調,不僅嚴重破壞了患者的生理狀態,而且對患者的心理有不可估量的影響。子宮不僅僅是一個生育器官,而且具有復雜的內分泌功能;子宮全切術有可能引起卵巢功能衰退,性激素分泌失調,導致閉經、血脂代謝異常、全身免疫功能紊亂。故對于未孕、年齡較輕、要求保留生育功能或有并存疾病、難以耐受手術或畏懼手術的患者,需選擇一種既可保留子宮,又能達到預期效果的無創方法。
高強度聚焦超聲(High Intensity Focused Ultrasound,HIFU)給子宮肌瘤患者帶來了新的希望。HIFU是近十余年來發展并逐步成熟的一種無創治療新技術。其原理類似我們常用的太陽灶,將超聲波聚焦在特定靶區組織,瞬間達到65~100攝氏度高溫,破壞肌瘤組織,在組織病理學上表現為凝固性壞死。
治療時患者仰臥在治療床上,不用麻醉,沒有刀口,在清醒的狀態下接受治療,HIFU治療子宮肌瘤主要有以下優點:
1、無創性:不開刀,不流血,安全性高。
2、無需麻醉:在鎮靜止痛條件下治療,可避免手術麻醉所引起的各種副作用。
3、可保留子宮。
4、治療時間短:一般1小時即可完成一次治療。
5、術后恢復快,術后即可下地活動,可于門診治療。
治療后壞死的子宮肌瘤不會消失,而是會發生纖維化,緩慢縮小,但對人體已經沒有危害了。最近,由于磁共振增強掃描(圖1,2)和超聲造影檢查技術(圖3,4)的應用,使治療效果的評價更加客觀和明確。

圖1 治療前MRI增強掃描

圖2 治療后MRI增強掃描

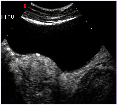
圖3 治療前超聲造影

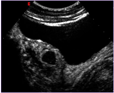
圖4 治療后6個月超聲造影

上一篇:專家解答體檢超聲報告中常見問題
下一篇:心臟超聲看什么