HEALTH PROMOTION
單純性腎囊腫是常見疾病,在醫學影像技術廣泛開展的今天,被發現的病例,甚為普遍。單純性腎囊腫,一般沒有癥狀,也不危害健康,不需要治療,只有在囊腫較大時,容易受到外傷,發生血尿,或擠壓鄰近臟器,才需要采用適當處理。以往的治療主要為開放性手術治療,創傷大,術后恢復時間長,費用高;而我科周永昌教授自八十年代起就在全國率先開展腎囊腫穿刺硬化治療,我科迄今已逾7000余例,成功率在95%以上。
超聲引導下腎囊腫穿刺硬化治療具有簡單易行,患者少痛苦,復發率低,費用低等優點。這種方法是用超聲診斷儀事先選定穿刺點,設計好進針角度和進針深度,在局部麻醉下,用專用的穿刺探頭,根據已設定的角度和深度把直徑0.8毫米或1.2毫米的針插入囊腫,因為囊腫、針道和周圍臟器全部在超聲屏幕上看到,所以不會損傷周圍臟器,待抽凈囊液后,注入硬化劑,使硬化劑與囊腫內壁上皮接觸,達到硬化效果,數分鐘后把硬化劑抽出,拔出穿刺針,整個治療過程安全。在硬化治療后的早期(一個月內),一般說,囊腫上皮因硬化劑燒灼作用,會有滲出,一個月后開始漸漸吸收,三個月后明顯縮小,直至囊腫完全消失。

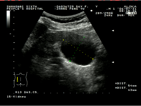
術前囊腫大小50mm左右

術后10天囊腫已縮小到30mm左右

術后4月囊腫完全消失
我科同時開展肝囊腫、多囊腎、卵巢單純性囊腫及內膜樣囊腫等的穿刺硬化治療,取得較好療效均獲成功。
陳磊
上一篇:前列腺穿刺小知識
下一篇:伍星畸形篩查科普報道